1. Pregled i dogovor sa stomatologom
Prije ugradnje implantata svi zubi i zubno meso, moraju biti sanirani, bez karijesa, granuloma, upale zubnog mesa i paradentoze.
2. Ugradnja implantata
Kirurški se zahvat izvodi u ordinaciji pod lokalnom anestezijom koja se inače daje za popravak zuba . Zahvat ugradnje jednog implantata(A) traje 30 - ak minuta.

Ako implantat ima primarnu stabilnost, možemo ga odmah opteretiti krunom. U suprotnom miruje 3-6 mjeseci kako bi se površina implantata integrirala s okolnom kosti. Za to vrijeme pacijent nosi privremeni rad.
Nakon 3-6 mjeseci uzima se otisak nad implantatom kako bi se izradila nadogradnja(B) i krunica (C), a vi možete ponovno uživati u vašem osmijehu.
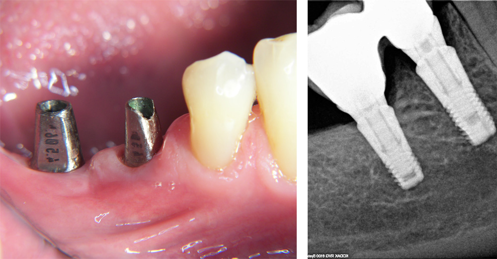
Gubitak donjih desnih kutnjaka, most nad implantatima
Titanske nadogradnje i rendgenski prikaz postavljenih implantata
3. Održavanje "umjetnog zuba"
"Umjetni zubi" održavaju se poput Vaših prirodnih zuba, redovitim i pravilnim četkanjem dva puta dnevno. Ne smijemo zaboraviti kontrolne preglede dva puta godišnje.

