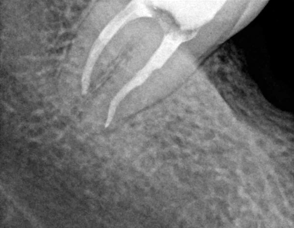
Upalu oko vrha korijena (tzv. "granolom") uspješno liječimo endodontskim liječenjem koje podrazumijeva čišćenje, dezinfekciju i punjenje korijenskih kanala. Zahvat je jednostavniji na jednokorijenskim zubima (npr. sjekutićima), a puno zahtjevniji na kutnjacima koji najčešće imaju četiri korijenska kanala.
Liječenje je bezbolno i provodimo ga najčešće u jednoj posjeti. Nekada je endodontski tretman zahtijevao bezbrojne posjete i trajao mjesecima.
Nakon liječenja zub može biti bolan od 2 do 4 tjedna, što je normalna reakcija jer u to vrijeme imuni sustav organizma uništava zaostale mikroorganizme.
Endodontski liječeni zubi su jednako vrijedni kao i zdravi zubi, jedino što su oslabljeni prijašnjim opsežnim ispunom, karijesnom lezijom ili frakturom krune i stoga su krhkiji i skloniji pucanju. Preporučuje se na kraju liječenja takve zube zaštiti krunicom.
Opremljeni smo najsuvremenijom opremom i materijalima za endodontsko liječenje, a posjedujemo i dugogodišnje specijalističko iskustvo.
Budući da u 95% slučajeva uspijevamo endodonskim liječenjem izliječiti "granolom" zuba, naši pacijenti rijetko trebaju kirurški zahvat - resekciju ili apikotomiju vrha korijena.
Liječimo sve grupe zuba, također i umnjake.
Budući da u 95% slučajeva uspijevamo endodonskim liječenjem izliječiti "granolom" zuba, naši pacijenti rijetko trebaju kirurški zahvat - resekciju ili apikotomiju vrha korijena.
Liječimo sve grupe zuba, također i umnjake.
![]() |
![]() |
Donji desni umnjak prije i poslije endodontskog liječenja

